家住湖南长沙县12岁的男孩萧萧(化名),因长期低热、咳血四处就医,治疗了6个月无明显效果。他来到湖南省儿童医院就诊,终于找到了病因——原来他得的是肺吸虫病。
近日,该院专家告诉记者,更为严重的是,萧萧的肺部已经形成永久性空洞。接诊医生表示,萧萧的疾病与酷爱吃烧烤有关。
“我们在病情追查中得知一个细节,萧萧平时特别爱撸串(吃烧烤,烤串),而且喜欢吃半生不熟的。”该院急诊综合内一科主任罗海燕教授介绍,在体查时,发现萧萧的腰背部的体表肿块会游走。“结合病史,考虑孩子可能得了寄生虫病。”经过详细的检查,萧萧被确诊患上肺吸虫病。
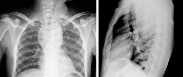
虽然经过对症药物治疗,萧萧体内的寄生虫已经被杀灭,但医生表示,肺吸虫已经对萧萧的身体造成了永久性的伤害。“通过CT检查,在萧萧的肺部可见到明显的空洞,这正是肺吸虫游走肺内留下的痕迹。”
肺部空洞 资料图片
“吃半生不熟的食物都有可能招惹到这种寄生虫。”罗海燕表示,人体寄生的肺吸虫,多因吃半生不熟的肉食获得。发病后,患者可出现咳嗽、呼吸困难、血痰、胸痛等症状,与结核病典型症状极为相似,因此肺吸虫病易误诊为结核病。
罗海燕提醒,杜绝肺吸虫病要从入口把关。最好不要给孩子吃生的或半生的食物,食用需经过高温加工。要杀死肺吸虫囊蚴,需要在70℃的水中煮3分钟,或在 100℃的水中煮1分钟,因此将水产煮熟煮透后吃还是安全的。另外,家用的食具也最好经常用开水消毒,或者在厨房备两块砧板,生食和熟食分开切。
想一想就觉得可怕
可夏天马上就要到了
喜欢吃宵夜的市民就一定要注意了
口福当然要饱
但吃烧烤的危害你也要知道
吃烧烤的十大危害 1、燥热易上火,容易引发肾病
经过烧烤,食物的性质偏向燥热,夹了调味后,大大刺激胃肠道蠕动以及消化液的分泌,有可能损伤消化道粘膜,还会影响体质的平衡,导致上火。严重的情况下,更会引发肾病。
2、感染寄生虫
烧烤的东西外焦里嫩,有的肉里面还没有熟透,甚至还是生肉,有可能导致感染上寄生虫,埋下了罹患脑囊虫病的隐患。
3、隐藏致癌物
内类中的核酸在梅拉德反应中,和大多数的氨基酸在加热分解时产生基因突变的物质,这些基因突变物质可能会导致癌症的发生,另外在烧烤的环境中,也会有一些致癌物质通过皮肤、呼吸道、消化道等途径进入人体内而诱发癌症。
4、患病率更高
使用过多烧煮、熏烤太过的蛋白质类食物,这会严重影响青少年的视力,导致眼睛近视。女性经常吃煎炸蛋肉会增加患卵巢癌、乳腺癌的危险性,如每隔两天吃一次比一周吃一次患病率高出3倍,比一个月吃一次高出5倍。
5、蛋白利用低
在烧烤的过程中,发生梅拉德反应。维生素遭到破坏,蛋白质发生变性,氨基酸也同样遭到破坏,严重影响维生素、蛋白质、氨基酸的摄入。
6、卫生无保障
原料来源渠道不透明,有可能挂羊头买狗肉,加工过程的卫生状况更是令人担忧。
7、诱发胃肠癌
人们如果爱吃被苯并芘污染的烧烤食品,致癌物质会在体内蓄积,有诱发胃癌、肠癌的危险。同时,烧烤食物中还存在另一种致癌物质——亚硝胺。肉串烤制前的腌制环节容易产生亚硝胺。
8、乳腺卵巢癌
世界卫生组织经过3年的研究,日前评选并公布了十大垃圾食品,称吃烧烤等同吸烟毒性。美国一家研究中心的报告说,吃一个烤鸡腿等同于吸60支烟的毒性。而吃烧烤的女性,患乳腺癌的危险性要比不爱吃烧烤食品的女性高出2倍。增加患卵巢癌的危险性。烧烤食品有强“毒性”。
9、视力受影响
据近年美国一项权威研究结果显示,食用过多的烧煮熏烤太过的肉食将受到寄生虫等疾病的威胁,严重影响青少年的视力,造成眼睛近视。
10、现代病元凶
因这类食物所含的脂肪高、热量高,而高血压、糖尿病、心血管疾病等“现代病”与之有很大关系。结论不难得出,从营养、食品安全角度看,烧烤类食物都不可取。

